공지사항
[언론보도] 새해에도 계속되는 ‘명치·등 통증’… 초음파만 믿다간 ‘췌장’ 놓친다
2026-01-14 15
1월에도 지속되는 소화불량, 단순 위염 아닌 ‘급성 췌장염·담석증’ 의심해야
가스 차면 안 보이는 초음파… “췌장 확인엔 MRI가 가장 정확”
소화기내과 분과전문의 “애매한 검사 반복보다, 3.0T MRI로 한 번에 확인해야”
연말 송년회와 회식 시즌이 끝나고 새해를 맞이했지만, 여전히 속이 더부룩하거나 명치 통증이 계속돼 병원을 찾는 직장인들이 늘고 있다.
대부분 과음이나 과식으로 인한 일시적인 위염, 역류성 식도염으로 생각하기 쉽지만,
명치 끝에서 시작된 통증이 등이나 어깨로 뻗어 나간다면
단순 위장병이 아닌 ‘췌장’이나 ‘담낭’의 문제일 수 있어 각별한 주의가 필요하다.
내과 전문의에 따르면 “연말 연초 잦은 회식과 모임으로 인해 늘어난 기름진 음식과 알코올 섭취는 췌장을 자극해 염증을 유발할 수 있다”며
"위장약을 먹어도 복통이 호전되지 않고 식은땀이 나거나 등이 뚫리는 듯한 통증이 동반된다면
즉시 병원을 찾아 췌장 및 담낭을 정밀하게 확인해야 한다"고 조언한다.
문제는 췌장질환이 일반적인 검진으로는 발견하기 까다롭다는 점이다. 흔히 1차적으로 복부 초음파를 시행하지만,
췌장은 위장 뒤쪽 깊숙한 곳(후복막)에 위치해 있고 장내 가스나 복부 비만의 간섭을 많이 받아 초음파가 투과하지 못해 병변을 놓칠 가능성이 높다.
이 때문에 전문의들은 췌장 상태를 확인하기 위해 시간을 지체하거나 여러 검사를 전전하기보다
처음부터 ‘복부 MRI(자기공명영상)’를 통해 명확하게 진단하는 것이 가장 효율적이라고 강조한다.
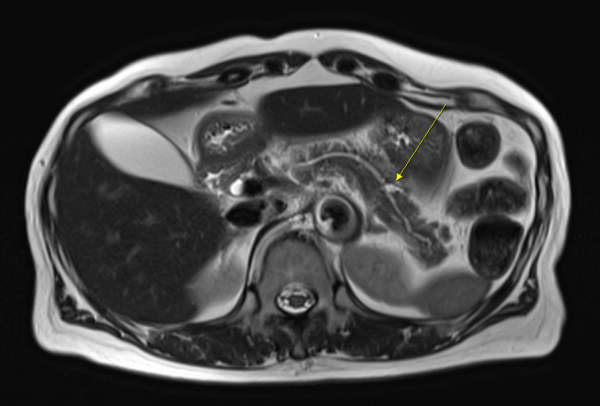
췌장 꼬리(화살표)까지 선명하게 포착한 3.0T MRI 영상[자료 제공 : 그린몰의원]
MRI는 뼈나 가스의 방해를 받지 않고 췌장의 단면을 고해상도로 구현할 수 있어,
초음파로 보이지 않는 미세 췌장염이나 종양, 담석까지 한 번에 찾아낼 수 있다.
여기에 췌장 효소 수치(아밀라아제, 리파아제)를 확인하는 혈액 검사를 병행하면 진단의 정확도는 더욱 높아진다.
그린몰의원 멀티클리닉 내과 전문의 유승화 원장은 “췌장 질환은 조기 발견이 어렵고 진행 속도가 빨라
골든타임이 무엇보다 중요하다”며 “증상이 의심된다면 막연히 약만 복용하거나 부정확한 검사에 의존하기보다,
대학병원급 3.0T MRI 장비를 갖춘 의료기관을 찾아 영상 진단과 혈액 분석을 동시에 진행해
신속하게 원인을 찾는 것이 건강을 지키는 지름길”이라고 전했다.
